找回密码
 注册会员

QQ登录

只需一步,快速开始

查看: 262|回复: 1

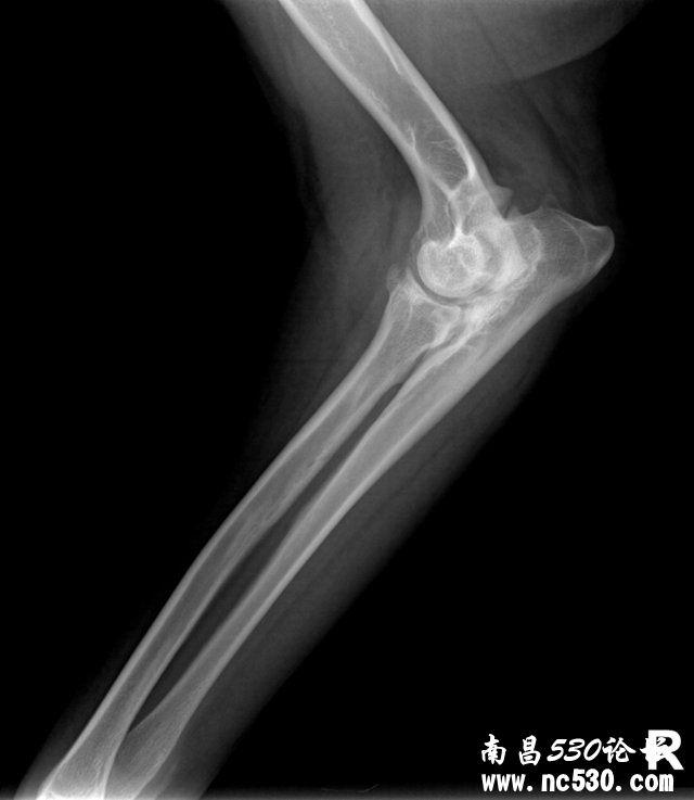
[疾病诊断] 求帮我看下这张肘关节片子是否有问题及严重程度?

[复制链接]
发表于 2012-10-17 20:53:00 | 显示全部楼层 |阅读模式
悬赏1金钱未解决

求帮我看下这张肘关节片子是否有问题及严重程度?

求帮我看下这张肘关节片子是否有问题及严重程度?
动物种类:犬
动物品种:拉布拉多
动物年龄:17个月
动物性别:母
免疫情况:免疫
是否绝育或去势:否
精神状态:好
食欲如何:好
排便如何:好

请问你能帮这位来到南昌530论坛宠物乐园栏目的狗友解答此狗狗遇到的问题吗?,谢谢!

发表于 2012-10-18 11:26:00 | 显示全部楼层
关节炎吃DS和三文鱼油搭配很有效果  你可以试试 我家狗狗瘫了吃那个都好了!
您需要登录后才可以回帖 登录 | 注册会员

本版积分规则

如需要(删违规/投诉/建议/赞助等)请联系

本论坛所有来帖仅代表网友个人观点,不代表青山湖畔|南昌论坛立场。

手机版|南昌530论坛

GMT+8, 2026-3-5 00:10

Powered by Discuz! X3.5

Cpoyright © 2001-2026 Discuz! Team

快速回复 返回顶部 返回列表