找回密码
 注册会员

QQ登录

只需一步,快速开始

查看: 240|回复: 0

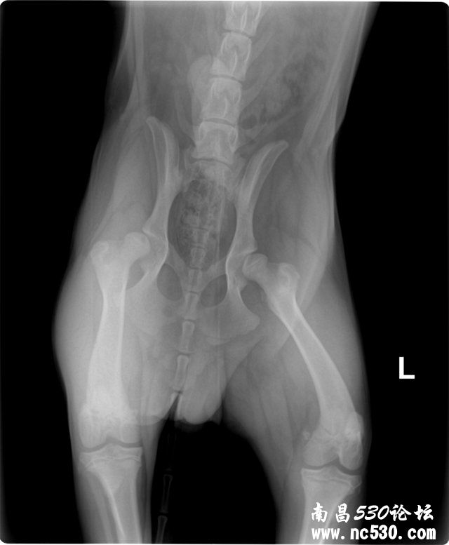
[疾病诊断] 髋关节问题,麻烦帮办看看!

[复制链接]
发表于 2012-11-23 11:22:00 | 显示全部楼层 |阅读模式
悬赏47金钱未解决
动物种类:狗
动物品种:金毛
动物年龄:6个月
动物性别:公
免疫情况:已做完免疫
是否绝育或去势:打算做绝育
精神状态:一般
食欲如何:一般
排便如何:正常
  

髋关节问题,麻烦帮办看看!

髋关节问题,麻烦帮办看看!

请问你能帮这位来到南昌530论坛宠物乐园栏目的狗友解答此狗狗遇到的问题吗?,谢谢!

您需要登录后才可以回帖 登录 | 注册会员

本版积分规则

如需要(删违规/投诉/建议/赞助等)请联系

本论坛所有来帖仅代表网友个人观点,不代表青山湖畔|南昌论坛立场。

手机版|南昌530论坛

GMT+8, 2026-3-5 08:17

Powered by Discuz! X3.5

Cpoyright © 2001-2026 Discuz! Team

快速回复 返回顶部 返回列表